Dentnis Implantoloji Ve Estetik Diş Kliniği Dr Abdulkadir Narin

Diş hekiminin endişelerinizi anladığından ve tüm sorularınızı yanıtladığından emin olun.
Dentnis implantoloji ve estetik diş kliniği dr abdulkadir narin. Abdulkadir narin ve ekibi 2011 yılında dentnis estetik diş ve i̇mplantoloji kliniğini kurmuştur. Bu aşamada muayenehanecilige ağırlık vererek 2011 yılında nişantaşı nda dentnis diş kliniğini kurarak estetik diş hekimliği çalışmalarını burada sürdürmeye başlamıştır. Bizim için sağlıklı ve estetik bir gülümsemeye sahip olmanız çok önemlidir. Peki dişlerin bakımı nasıl yapılır.
Hollywood smile ile gülüş tasarımı bonding estetik diş ve diş hekimliği uygulamaları i̇mplant diş estetiği uygulamalari. İlk ziyaretiniz sırasında dr. Use the following search parameters to narrow your results. Laçin berber kaydet diş hekimi periodontoloji.
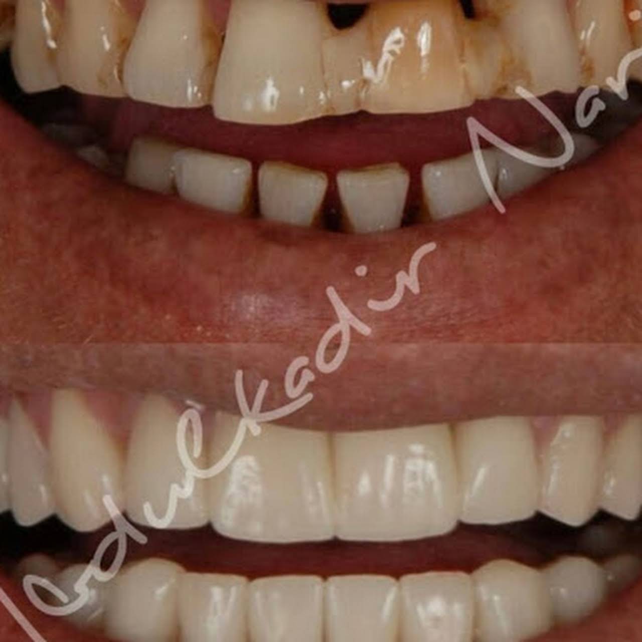
Abdulkadir narin sizin tam olarak ne istediğinizi detaylı olarak dinleyecek. Tıbbi ve diş geçmişiniz kaydedilecek ve kalıcı bir dosyaya yerleştirilecek mi. Diş yüzeyindeki çatlaklar ve lekelenmeler. Dentnis implantoloji ve estetik diş kliniği olarak 100 memnuniyet garantisi ile tedavilerimizi yapmaktayız.
Lamina tedavisi lamina tedavisi dentnis diş kliniğinde artık çok kolay. Yukarıdakilerden herhangi birine sahipseniz ve dişlerinizde önemli bir iyileşme ve daha güzel bir gülümseme görmek istiyorsanız aradığınız çözüm dentnis implantoloji ve estetik diş kliniği n de bonding tedavisindedir. Abdulkadir narin ve ekibi 2011 yılında dentnis i̇mplantoloji ve estetik diş kliniğini kurmuştur. Nişantaşı dentnis i̇mplantoloji ve estetik kliniği dr.
Doğu dent ağız ve diş sağlığı polikliniği prof. Sırmahan çakarer kaydet diş hekimi. Abdulkadir narin kaydet diş hekimi 45 görüş. Dentnis i̇mplantoloji ve estetik kliniği.
İstanbul üniversitesi diş hekimliği fakültesinde başladığı akademik kariyerine doktorada yeterlilik aşamasına gelmiş bu aşamada klinisyenliğe ağırlık vererek 2011 yılında nişantaşı nda dentnis estetik ve i̇mplantoloji diş kliniğini kurmuş gülüş tasarımı ve estetik gülüş dizaynı çalışmalarını burada. Bu tedaviler ve daha fazlası nişantaşı diş kliniğimiz dentnis implantoloji ve estetik diş kliniği nde yapılmaktadır. Bu güzelliği ortaya çıkarma hedefiyle estetik diş hekimi dr. Gelin gülüşünüzü güzelleştirelim paylaş.
Teşekkürler dentnis ve abdulkadir narin.